磯子区の歯医者さん、神保歯科医院

 | 入れ歯の治療 | ホワイトニング | 審美歯科 | 一般歯科 | レーザー治療 | インプラント | 歯列矯正 | 医院案内 |

space

入れ歯治療

症例報告 << 入れ歯治療トップ << TOP  
入れ歯トップ
保険診療内の入れ歯
自費治療の入れ歯
部分床の入れ歯
コーヌスクローネタイプ
金属のない入れ歯
入れ歯診療の症例
お問合せ
space
神保歯科医院オフィシャルブログ|デンタルマガジン
space
自費治療はクレジットの利用が可能です。
space
診療時間

症例報告

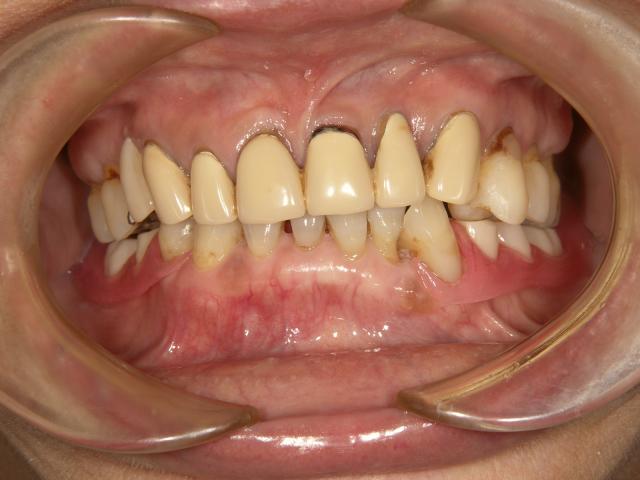
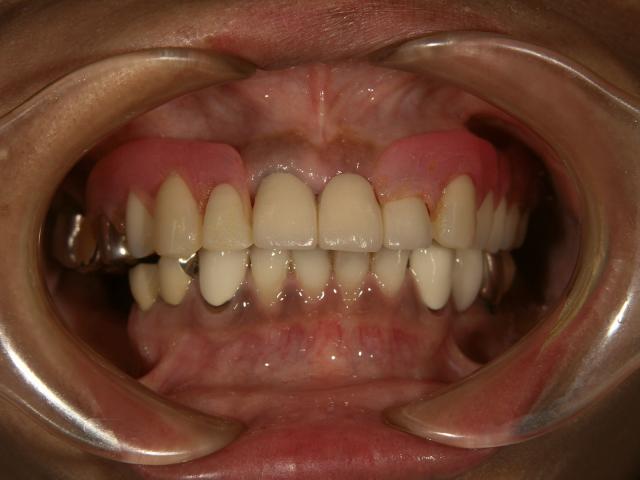
テレスコープタイプの入れ歯(上顎)

2007/04/27

70代女性 担当:院長
義歯が磨り減ってよく噛めない。
唇を噛んでしまう。
前歯の部分が見えないので、自然に見えるようにして欲しい。

術前space術後
術前 術後

1年ほどかけて咬合を挙げてから新義歯作成しました。
新義歯作成 新義歯作成

術後の自然観比較してください!

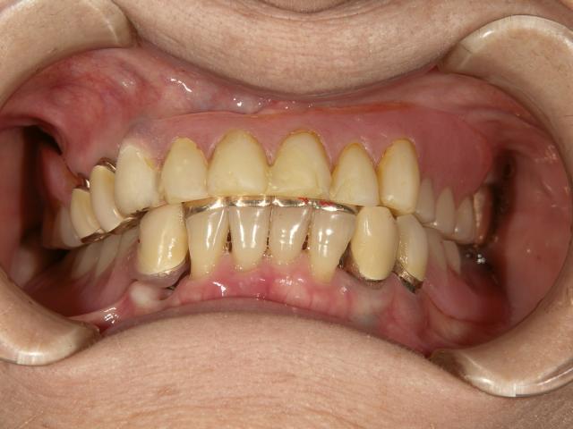
磁石を使用した金属床の入れ歯

2006/09/30

担当:院長
下の総義歯ですが、審美性と機能を考えて磁石を使用した設計で製作しました。
金属床の入れ歯 金属床の入れ歯

金属の針金を使用せずに食べたものも挟まりにくいです!自然感があり良好との事です!
金属床の入れ歯 金属床の入れ歯

ノンクラスプデンチャー 金属の見えないようにしたい!!

2006/07/10

担当医;院長神保
50代後半女性 上の歯の見栄えを自然にしたい希望。
前歯3本 奥歯3本のみしか残ってませんでした。
上の歯の見栄えを自然に

前歯3本はセラミックス使用 義歯はノンクラスプデンチャー設計です。
上の歯の見栄えを自然に

入れ歯を入れているのが判らなくなりました!!
上の歯の見栄えを自然に 上の歯の見栄えを自然に
また入れ歯を外しても前歯が自然なので外食も怖くなくなったそうです。
よかったですね!!

ノンクラスプデンチャー

2006/05/10

担当;五十嵐
以前は金属のクラスプを使用した義歯使用していたが、今回ノンクラスプデンチャーに変更。
ややきつい感じがするが非常に軽くしっくりしているとの事!
五十嵐先生良かったね!!

術前
ノンクラスプデンチャー

術後
ノンクラスプデンチャー ノンクラスプデンチャー ノンクラスプデンチャー

金属の針金なしの入れ歯 ノンクラスプデンチャー

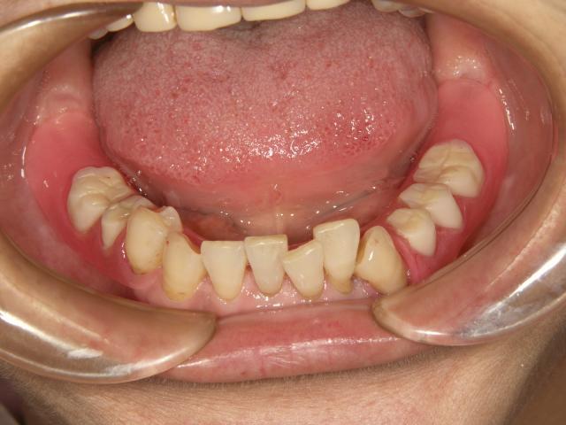
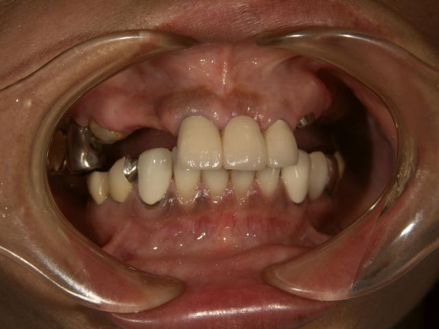
2006/04/20

70代女性 
院長担当
かみ合わせが交差した咬合

金属の針金なしの入れ歯

下唇のツッパリが消えて自然なアーチを描いてます。
金属の針金なしの入れ歯

唇のふくらみの回復、自然観見て下さい!
金属の針金なしの入れ歯

唇を上に上げても金属は見えず、歯肉も自然です!
金属の針金なしの入れ歯


Warning: Use of undefined constant php - assumed 'php' (this will throw an Error in a future version of PHP) in /home/users/0/storekeeper/web/jinbo.or.jp/artificial_tooth/p6.php on line 129
space
space
PageUp ] 
space

Copyright ©医療法人社団裕栄会 神保歯科医院. All Rights Reserved.横浜市磯子区東町9-2
神保歯科医院は口コミランキング「デンターネット」に参加しています。