磯子区の歯医者さん、神保歯科医院

 | 入れ歯の治療 | ホワイトニング | 審美歯科 | 一般歯科 | レーザー治療 | インプラント | 歯列矯正 | 医院案内 |

space

入れ歯治療

コーヌスクローネタイプの入れ歯 << 入れ歯治療トップ << TOP  
入れ歯トップ
保険診療内の入れ歯
自費治療の入れ歯
部分床の入れ歯
コーヌスクローネタイプ
金属のない入れ歯
入れ歯診療の症例
お問合せ
space
神保歯科医院オフィシャルブログ|デンタルマガジン
space
自費治療はクレジットの利用が可能です。
space
診療時間

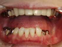
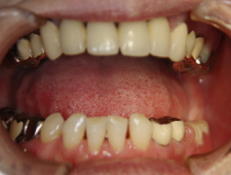
コーヌスクローネタイプの入れ歯

コーヌスクローネタイプの部分入れ歯
コーヌスクローネタイプの部分入れ歯   コーヌスクローネタイプの部分入れ歯
コーヌスクローネタイプの部分入れ歯   コーヌスクローネタイプの部分入れ歯
2重冠タイプで維持しています。
space
ノンクラスプデンチャーへ → ]  
space
PageUp ] 
space

Copyright ©医療法人社団裕栄会 神保歯科医院. All Rights Reserved.横浜市磯子区東町9-2
神保歯科医院は口コミランキング「デンターネット」に参加しています。