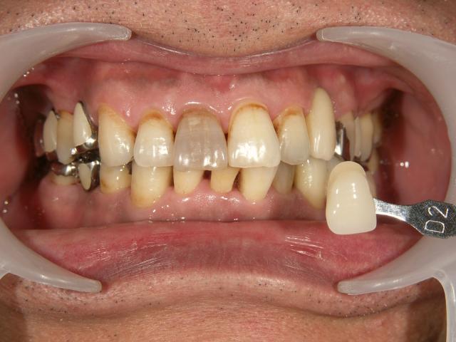
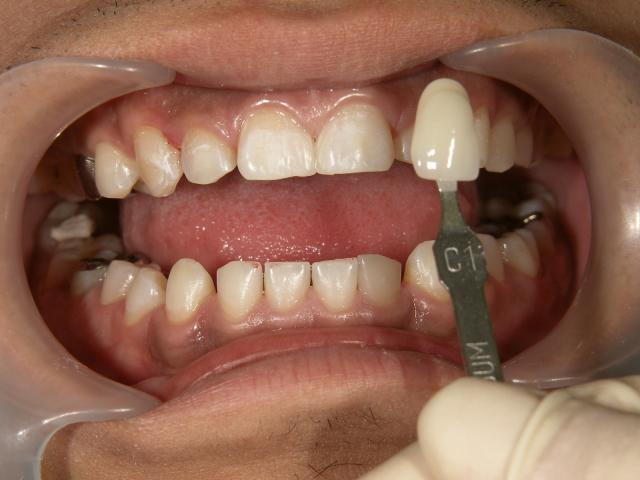
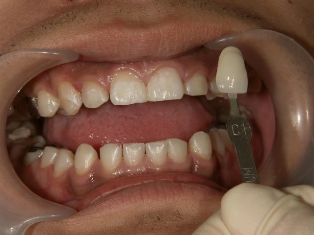
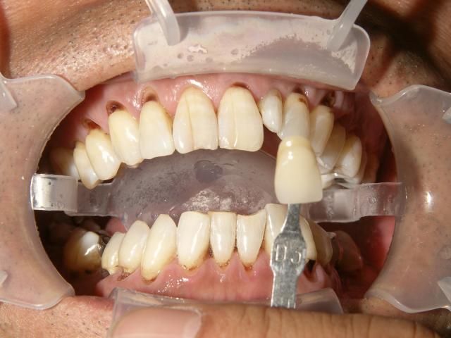
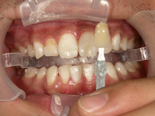
ホワイトニングおよびCR修復併用
2007/04/27
50代男性
担当:院長
DH :坂田 真由美
臼歯部欠損の治療後、前歯部のホワイトニング
ホワイトニング前

ホワイトニング後

CR修復後
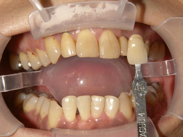
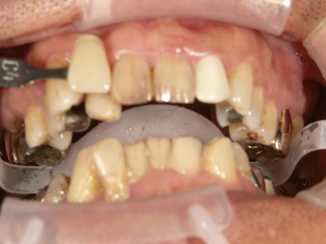
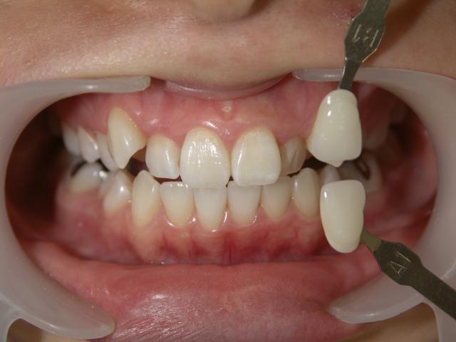
ホワイトニング 20代女性
2007/04/17
担当:DH 坂田真由美
担当医:趙
もともとA3でそれほど暗い色ではありませんでしたが、 3回のホワイトニングでなんとB1という明るさまで変化!!! 担当もびっくりです。痛みも全く出なかったため、作用時間をやや長めにしましたが、予想以上の効果でした。
術前

術後
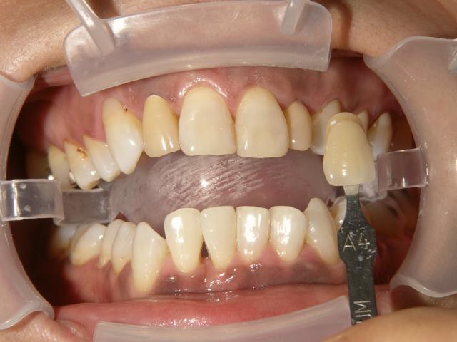
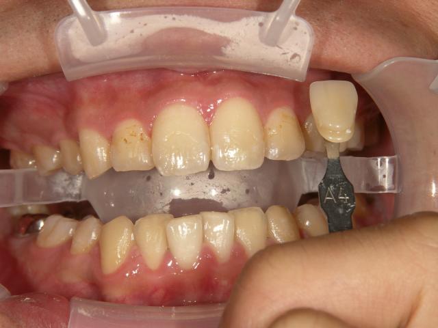
40代女性 ホワイトニング
2006/04/10
定期に検診およびクリーニングをしている患者様です。
今回前歯の色を白くしたいということでホワイトニングを施術
ホワイトニング前
歯肉は完璧に管理されてます!担当DHは久志

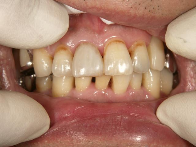
ホワイトニング3回目
かなり変わりましたので、その色に合わせて前装冠やり直しの予定です!!
担当医 院長

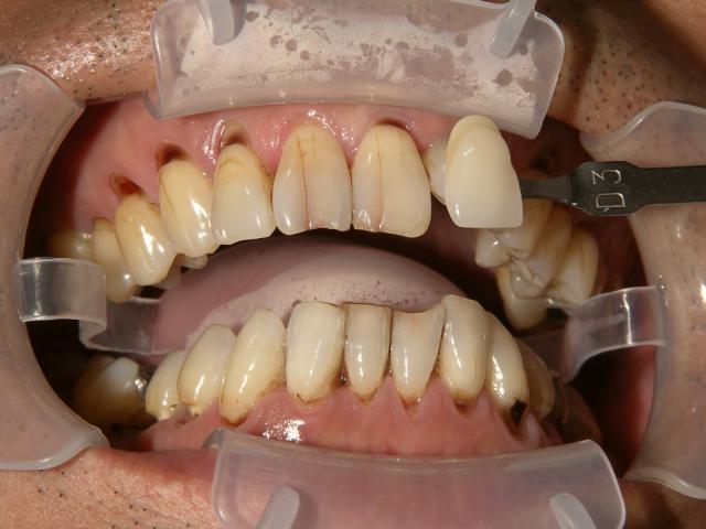
50代男性 ホワイトニング
2006/04/09
タバコをやめたのを機会に歯をもう少し白くしたいという方です。
こちら写真はホワイトニング前で、エアーフロー直後の写真です。
歯の内面からの黄色い着色と、エナメル亀裂内の着色が顕著です。

下写真は3回目のホワイトニング直後です。
亀裂内の着色や内面からの着色もほとんど目立たなくなってます!!

あとは歯頚部の削れてしまっている部分を修復処置すれば大丈夫です。
禁煙が続けば6ヶ月に1回の定期照射で維持できると思います!!
担当 院長 DH:久志
ホワイトニングとレジンダイレクトボンディング
2006/02/25
20代前半の男性です!歯の色と正中離開が気になり来院。
ホワイトニング3回とレジンダイレクトボンディングによる修復です。


前歯の色はc1まで明るくなりました!
ホワイトニング担当DH 久志
担当医 五十嵐
ホワイトニング2
2005/12/29
20代前半の男性です。
はじめはA4でしたが3回のビヨンドシステムでA2〜1まで劇的に白くなりました。写真の取り方で2枚目に影が写ってしまいましたが、実際は全体的に明るくなりました。
あとは矯正装置の外した跡を修復すればかなり自然になるでしょう。
担当DH:久志
診査:院長
ホワイトニングとダイレクトレジンラミネート
2005/12/29
50代男性、かなりの内因性着色の見られる前歯です。
ホワイトニング2回の後レジンダイレクトボンディングでほとんど歯を削らないで修復しました。 どうでしょうか?(左上側切歯はまだ仮歯です)
奥様も口元の変化にビックリなさってます。
無麻酔で痛みなく口元の感じを変える事ができました!
担当:DH久志
診査、治療:院長
ホワイトニング1
2005/12/29
20代前半の女性です。
もともとはB4の色でしたが、2回のビヨンドシステムでA2まで明るくなりました! 歯に艶も出て、本人もびっくり。

3回の予定が2回で済んでしまいました。

写真拡大すると良くわかります!あとは髪のカラーリングのように6ヶ月位でタッチアップしていけば白さを保てると思います!
担当DH:久志
診査:院長
Warning: Use of undefined constant php - assumed 'php' (this will throw an Error in a future version of PHP) in
/home/users/0/storekeeper/web/jinbo.or.jp/tooth_whitning/p4.php on line
162