磯子区の歯医者さん、神保歯科医院
|
入れ歯の治療
|
ホワイトニング
|
審美歯科
|
一般歯科
|
レーザー治療
|
インプラント
|
歯列矯正
|
医院案内
|
|
入れ歯治療
|
ホワイトニング
|
審美歯科
|
一般歯科
|
レーザー治療
|
インプラント
|
歯列矯正
|
|
ドクター紹介
|
歯科衛生士紹介
|
アクセスマップ
|
医院案内
|
ご予約・お問合せ
|
歯科衛生士求人情報
|
料金表
|
BLOG
|
HOME
|
歯列矯正
症例報告 <<
歯列矯正 <<
TOP
歯列矯正トップ
歯列矯正の症例報告
お問合せ
歯列矯正の症例報告
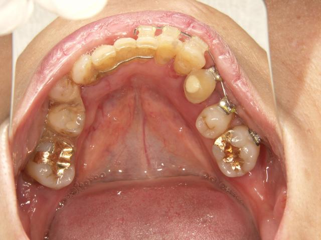
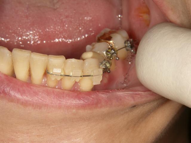
部分矯正による歯列回復症例
2006/07/19
50代女性 担当;院長
左下前歯2本が前に出て唇を噛んでしまう症例です。
写真のように装置をセットしました。
予定では3ヶ月程度で並びますがその後は補綴必要な症例です。
Warning
: Use of undefined constant php - assumed 'php' (this will throw an Error in a future version of PHP) in
/home/users/0/storekeeper/web/jinbo.or.jp/alignment_cure/p1.php
on line
77
[
PageUp
]
Copyright ©医療法人社団裕栄会 神保歯科医院. All Rights Reserved.横浜市磯子区東町9-2
神保歯科医院は口コミランキング「デンターネット」に参加しています。